找回密码
 注册

微信登录,快人一步

QQ登录

只需一步,快速开始

楼主: gjs661

紧急求助——82岁老岳父发热1个月(第87楼有更新)

 火... [复制链接]
发表于 2010-5-4 15:06 | 显示全部楼层
本帖最后由 桃子妖妖 于 2010-5-4 15:09 编辑

回复 120# gjs661

     海管,不好意思哈,五一回老家了,昨晚很晚才到家。
     根据您所述,1、目前可将患者甲强龙剂量减至:60mg bid 治疗,若体温正常4天,再将甲强龙减至80mg qd,若体温仍能维持,以后即口服激素了,具体的方案以后再说哈。2、另外,不用免疫抑制如环磷酰胺和免疫增强剂之类哦。3、注意随访肝、肾功及血常规(血小板39×109/L?有无出血征象?是实验室i误差?)情况;4、注意消化道情况,防止出血可能。5、注意菌群失调可能。
    很高兴您父亲病情有所好转
    海管,您真是个孝子哈
回复

使用道具 举报

 楼主| 发表于 2010-5-5 21:26 | 显示全部楼层
回复 121# 桃子妖妖

已经按照您的方案把甲强龙改为60mg q12h。精神状态好转,食欲增加。没有出血症状,血小板可能是化验误差。或许采血慢造成了凝集消耗掉了血小板?孝子算不上,遇到这种几乎是中彩票几率的罕见疾病,没办法啊。何况是一位非常令人尊敬,无论做人、做事比真正共产党员还共产党员的老人。
回复

使用道具 举报

发表于 2010-5-5 21:40 | 显示全部楼层
回复 122# gjs661
肺间质纤维化目前在我们这比较多。
由衷地为这位可敬的老人高兴、祝福!
回复

使用道具 举报

 楼主| 发表于 2010-5-11 20:44 | 显示全部楼层
回复 123# 桃子妖妖

查看《实用儿科学》也有这个病,但是在儿科临床上我们没遇到一个!或许我们医院的级别太低!

病情稳定,逐渐好转中:甲强龙60mg bid ×4天,80mg qd ,明天第四天,下一步如何减量?肺部影像多长时间复查?

再次谢谢您!
回复

使用道具 举报

发表于 2010-5-12 08:59 | 显示全部楼层
本帖最后由 桃子妖妖 于 2010-5-12 09:31 编辑

回复 124# gjs661

根据您所说: 甲强龙80mg qd 用至4-5天后若体温正常,病情稳定,可改为口服强的松40-50mg/d治疗,若病情仍稳定,胸部阴影不再吸收可逐渐减量,约4-8周后每周每次减5mg,待减量至20mg/d时,每周每次减2.5mg,以上均以采用米歇尔方案,即每周四、七停用口服强的松。再以后的根据病情我们再说吧。肺部影像病情稳定一般1月复查。继续联系哈,关注中。。。
这段时间回家后基本上不了论坛(老实说找不到服务器 ),不知咋回事哦?
回复

使用道具 举报

 楼主| 发表于 2010-5-12 09:05 | 显示全部楼层
回复 125# 桃子妖妖

可改为口服强的松40-50mg/d治疗,若病情仍稳定,胸部阴影不再吸收可逐渐减量


强的松分次还是一次口服?“病情仍稳定,胸部阴影不再吸收可逐渐减量”怎么理解?
回复

使用道具 举报

发表于 2010-5-12 09:27 | 显示全部楼层
本帖最后由 桃子妖妖 于 2010-5-12 09:29 编辑

回复 126# gjs661

强的松务必是顿服,即晨起一次口服。口服强的松时也注意需要保护胃黏膜哦。
病情仍稳定,胸部阴影不再吸收”-----肺间质纤维化阴影吸收需较长时间,故治疗反应不能以胸部阴影来评判,应以症状、体温等去判断。只要胸部阴影病变不再增多,稳定就算治疗有效。
回复

使用道具 举报

 楼主| 发表于 2010-5-12 10:51 | 显示全部楼层
回复 127# 桃子妖妖

甲强龙从80mg/日,直接降到强的松40-50mg/日,降幅是否太大?
回复

使用道具 举报

 楼主| 发表于 2010-5-16 18:47 | 显示全部楼层
回复 125# 桃子妖妖

如期将静脉甲强龙于周五停用,强的松的用量周五、周六、周日(今天)用60mg,明天开始50mg qd。周四、周日停服。有啥变化再与您联系!谢谢您。
回复

使用道具 举报

发表于 2010-5-16 19:20 | 显示全部楼层
本帖最后由 桃子妖妖 于 2010-5-16 19:25 编辑

回复 129# gjs661

别客气。看见老人家好转心里很是高兴
若病情仍稳定,胸部阴影不再吸收可逐渐减量,约4-8周后每周每次减5mg,待减量至20mg/d时,每周每次减2.5mg。。。(具体见125#所述)。有需要我做的请随时与我联系
回复

使用道具 举报

发表于 2010-5-16 19:27 | 显示全部楼层
回复 128# gjs661
激素减量时一般是:开始时可降幅增大,越往后越缓慢。一般不会致反跳的
回复

使用道具 举报

 楼主| 发表于 2010-5-16 19:56 | 显示全部楼层
回复 131# 桃子妖妖

明白了。从80mg直接减到50mg还真有些顾虑,所以折中一下,60mg三天,从周一开始50mg,
便于米歇尔方案实施。
回复

使用道具 举报

 楼主| 发表于 2010-5-17 10:28 | 显示全部楼层
回复 131# 桃子妖妖

糖皮质激素改为口服第四天,强的松50mg第一天,现在再次发热38.8℃。再观察有无别的症状。
回复

使用道具 举报

发表于 2010-5-17 11:39 | 显示全部楼层
本帖最后由 桃子妖妖 于 2010-5-17 11:41 编辑

复查胸部影像了吗?若能除外其它原因所致的发热(注意真菌感染可能),可能病情有反复,建议即停用口服强的松,改甲强龙80mg qd
回复

使用道具 举报

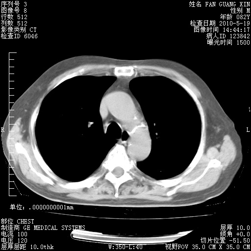
 楼主| 发表于 2010-5-19 18:50 | 显示全部楼层
回复 134# 桃子妖妖

前天最高体温39.2℃,昨天早晨静脉甲强龙80mg ,没有发热;今天7:00 37.9℃,7:10静滴甲强龙80mg,体温最高升到38.8℃。
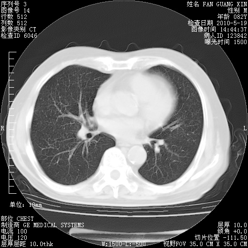
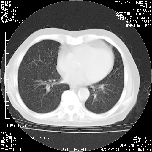
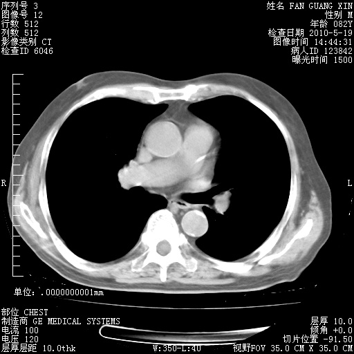
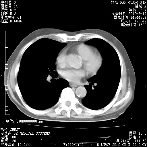
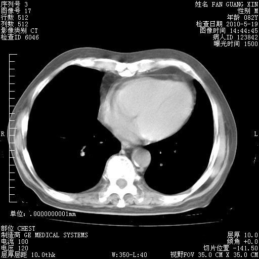
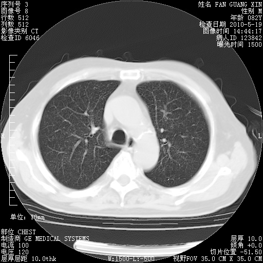
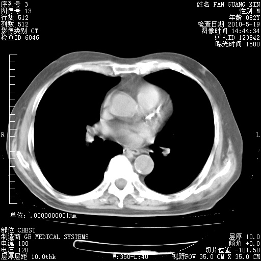
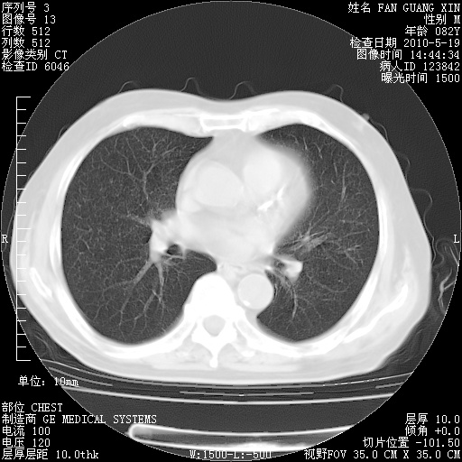
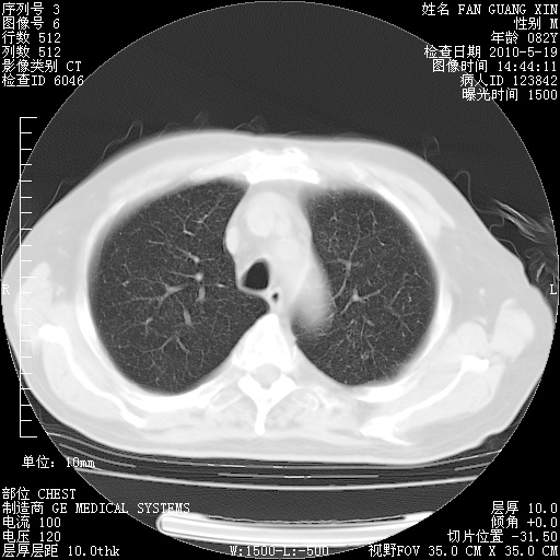
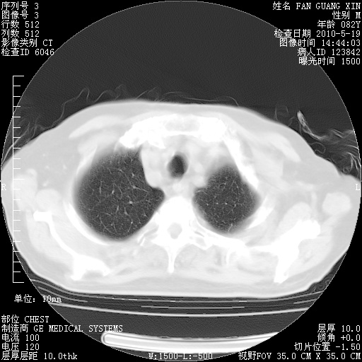
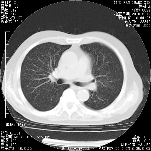
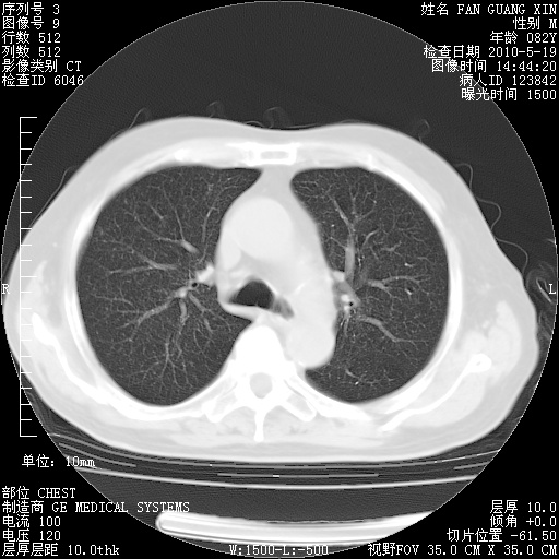
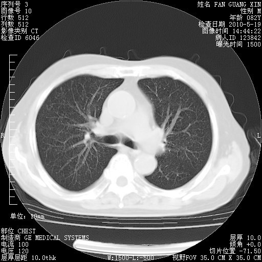
复查肺部CT,明显好转。为什么发热呢?
回复

使用道具 举报

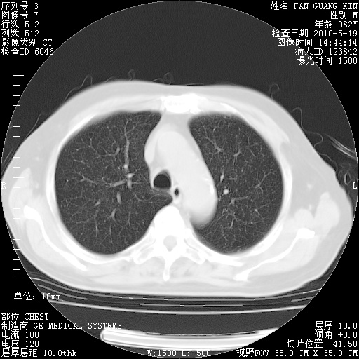
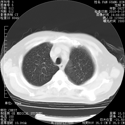
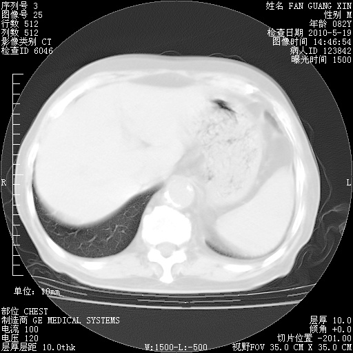
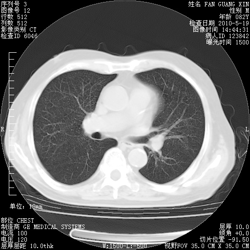
 楼主| 发表于 2010-5-19 18:56 | 显示全部楼层
回复 134# 桃子妖妖

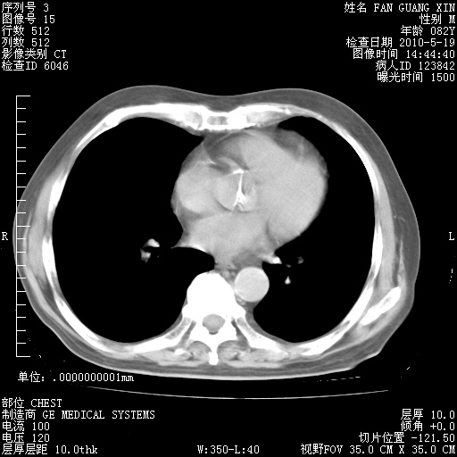
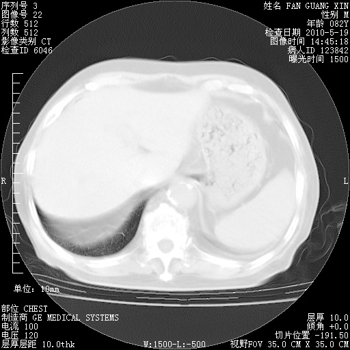
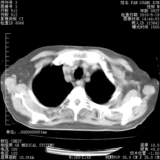
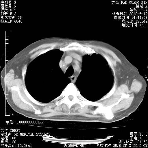
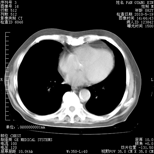
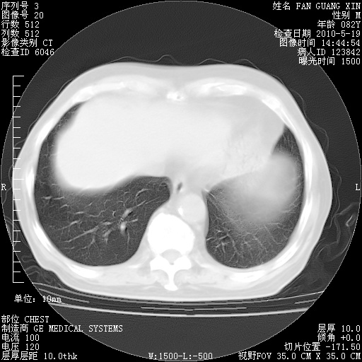
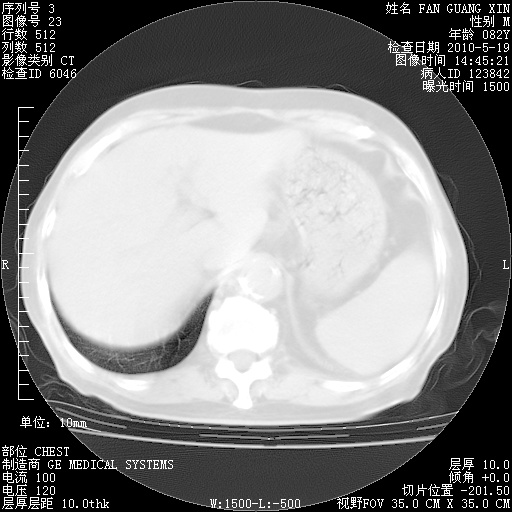
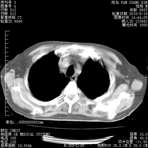
治疗3周后的肺部CT

Image27.JPG

Image28.JPG

Image29.JPG

Image30.JPG

Image31.JPG

Image32.JPG

Image33.JPG

Image34.JPG

Image35.JPG
回复

使用道具 举报

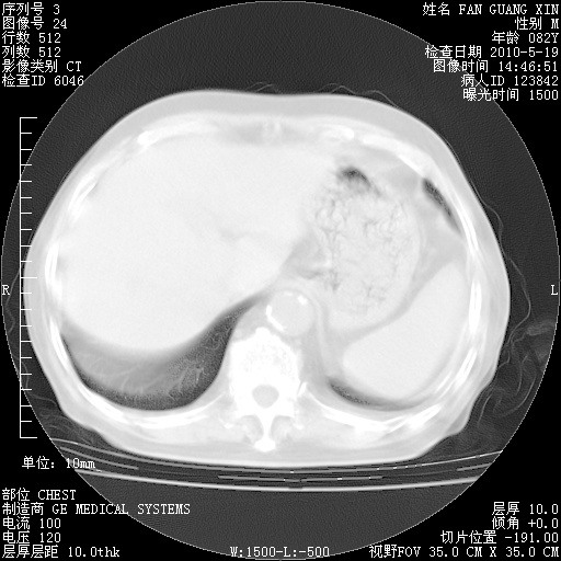
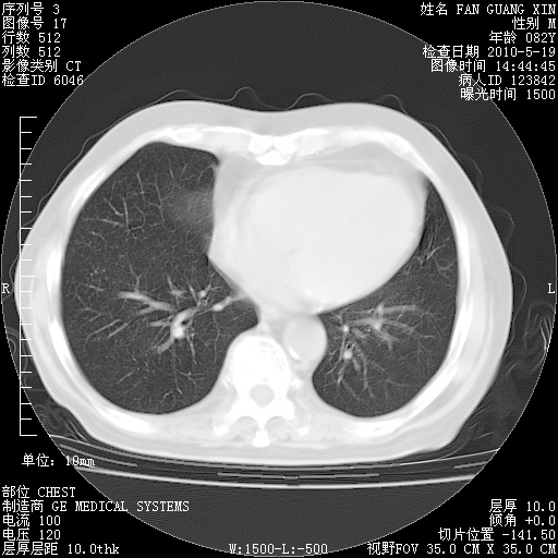
 楼主| 发表于 2010-5-19 18:58 | 显示全部楼层
治疗3周后的肺部CT

Image36.JPG

Image37.JPG

Image38.JPG

Image39.JPG

Image40.JPG

Image41.JPG

Image42.JPG

Image43.JPG

Image44.JPG

Image45.JPG
回复

使用道具 举报

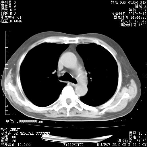
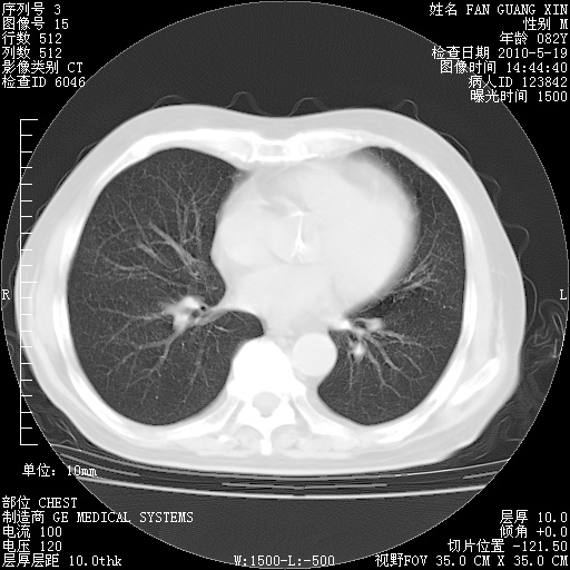
 楼主| 发表于 2010-5-19 18:59 | 显示全部楼层
治疗3周后的肺部CT

Image51.JPG

Image46.JPG

Image47.JPG

Image48.JPG

Image49.JPG

Image50.JPG
回复

使用道具 举报

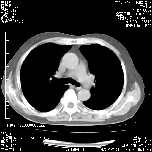
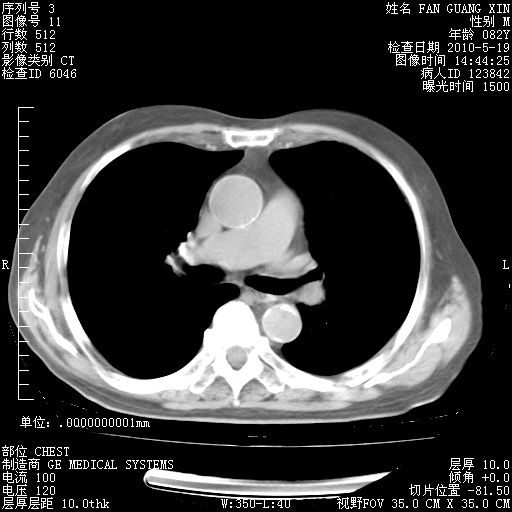
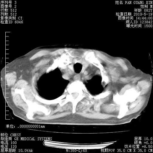
 楼主| 发表于 2010-5-19 19:00 | 显示全部楼层
治疗3周后的肺部CT纵隔窗

Image1.JPG

Image2.JPG

Image3.JPG

Image4.JPG

Image5.JPG

Image6.JPG

Image7.JPG

Image8.JPG

Image9.JPG

Image10.JPG
回复

使用道具 举报

 楼主| 发表于 2010-5-19 19:02 | 显示全部楼层
治疗3周后的肺部CT纵隔窗

Image11.JPG

Image12.JPG

Image13.JPG

Image14.JPG

Image15.JPG

Image16.JPG

Image17.JPG

Image18.JPG

Image19.JPG

Image20.JPG
回复

使用道具 举报

您需要登录后才可以回帖 登录 | 注册 |

本版积分规则

关闭

站长推荐上一条 /1 下一条

快速回复 返回顶部 返回列表