找回密码
 注册

微信登录,快人一步

QQ登录

只需一步,快速开始

楼主: gjs661

紧急求助——82岁老岳父发热1个月(第87楼有更新)

 火... [复制链接]
 楼主| 发表于 2010-4-28 17:03 | 显示全部楼层
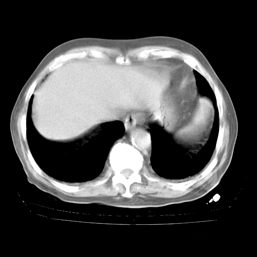
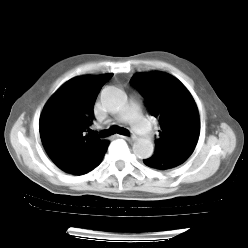
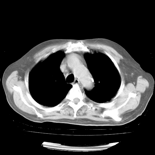
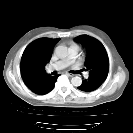
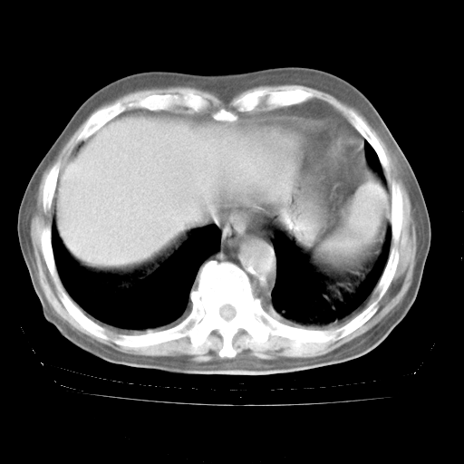
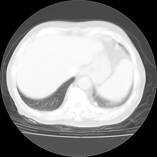
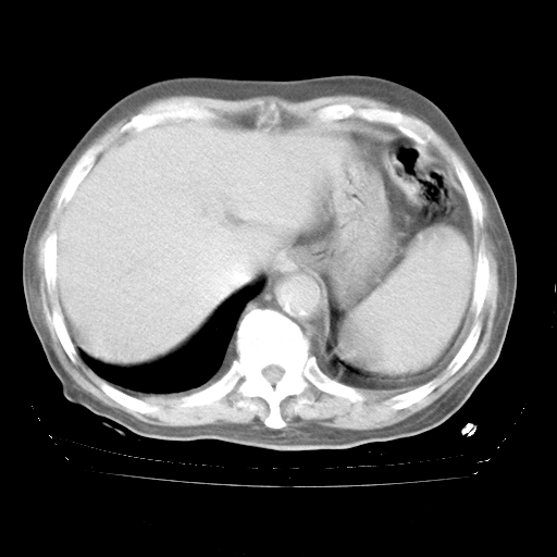
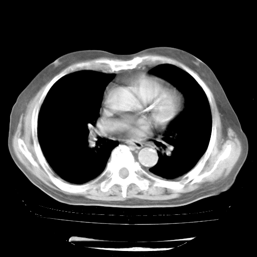
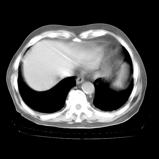
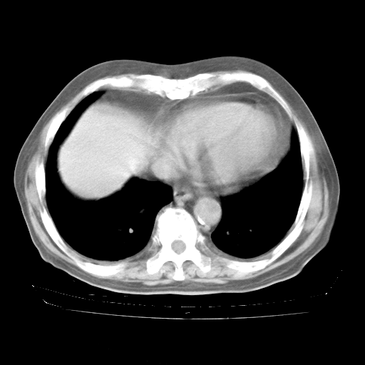
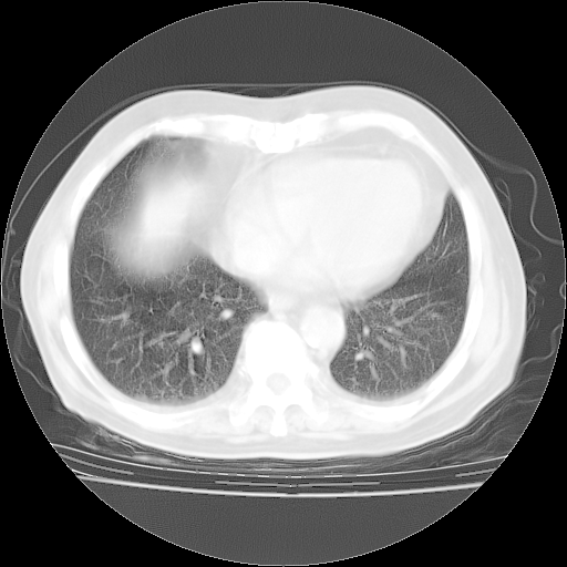
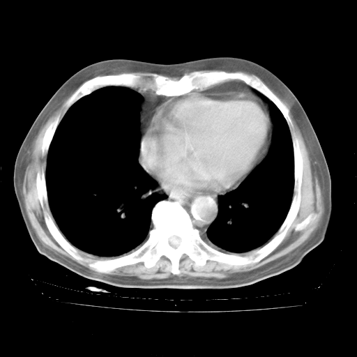
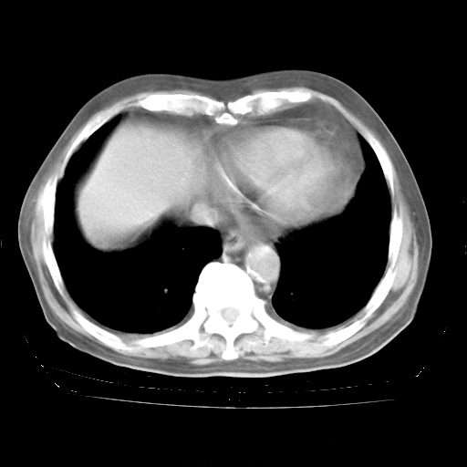
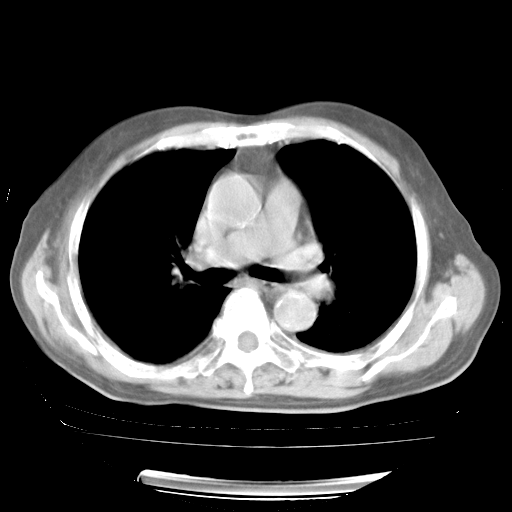
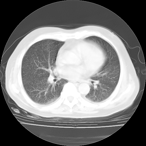
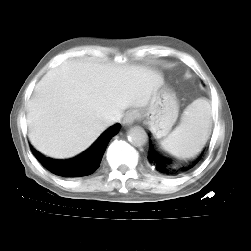
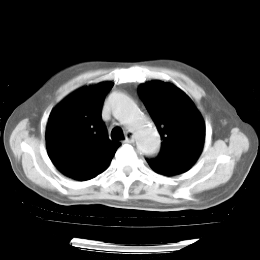
4月28日肺部CT——再次出现类似去年5月9日——透光度降低,“间质性”改变。

1221483 15.bmp

1221483 16.bmp

1221483 17.bmp

1221483 18.bmp

1221483 19.bmp

1221483 20.bmp
回复

使用道具 举报

 楼主| 发表于 2010-4-28 17:05 | 显示全部楼层
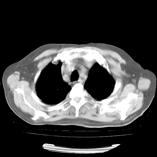
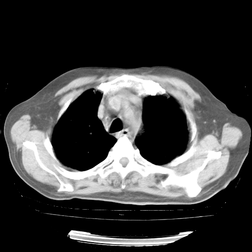
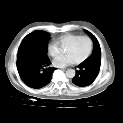
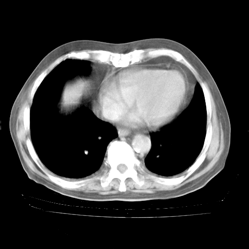
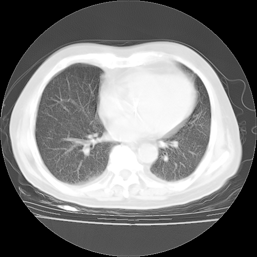
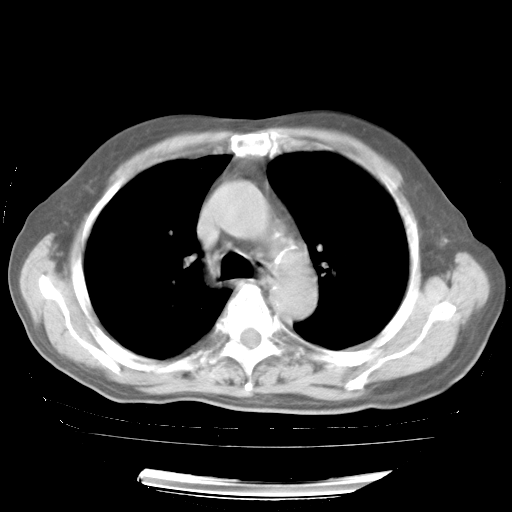
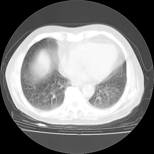
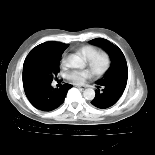
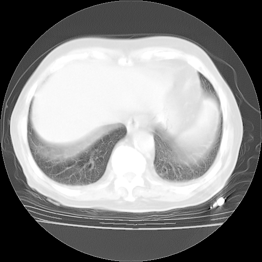
4月28日肺部CT——再次出现类似去年5月9日——磨玻璃样、间有“粟粒样”改变。

1221483 21.bmp

1221483 22.bmp

1221483 23.bmp

1221483 24.bmp

1221483 25.bmp

1221483 26.bmp
回复

使用道具 举报

 楼主| 发表于 2010-4-28 17:07 | 显示全部楼层
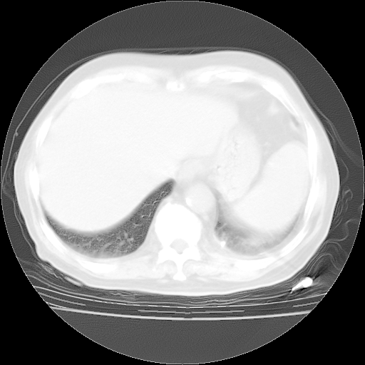
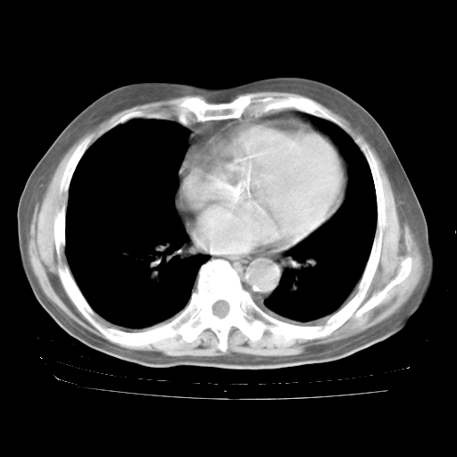
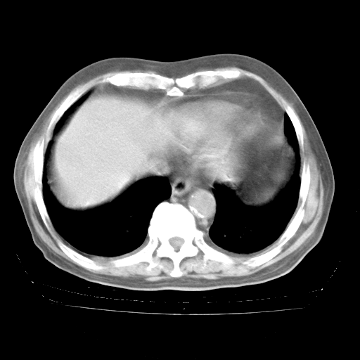
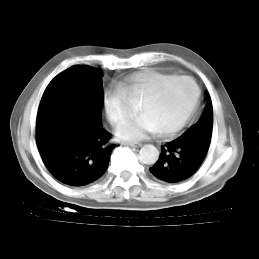
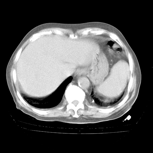
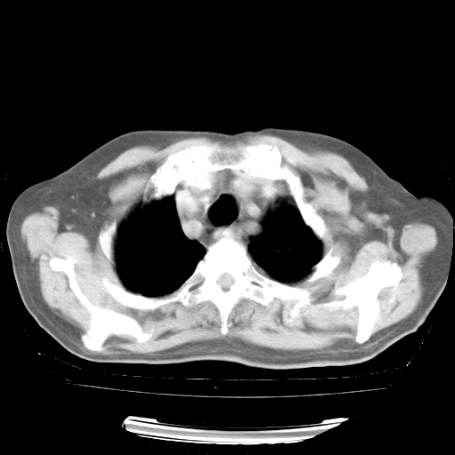
4月28日肺部CT——再次出现类似去年5月9日——透光度降低,“间质性”改变。

1221483 33.bmp

1221483 27.bmp

1221483 28.bmp

1221483 29.bmp

1221483 30.bmp

1221483 31.bmp

1221483 32.bmp
回复

使用道具 举报

 楼主| 发表于 2010-4-28 17:09 | 显示全部楼层
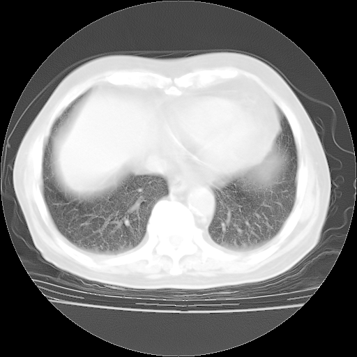
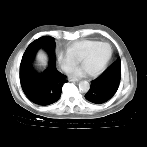
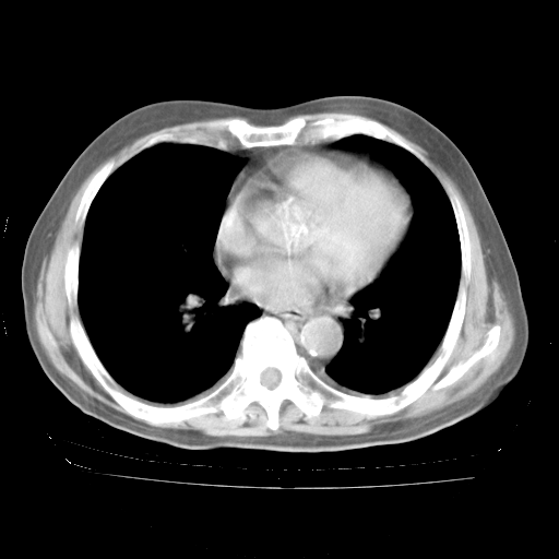
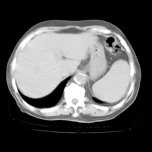
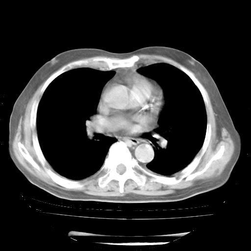
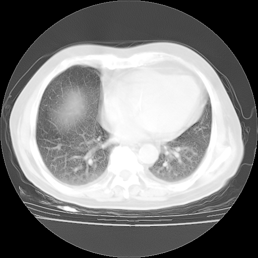
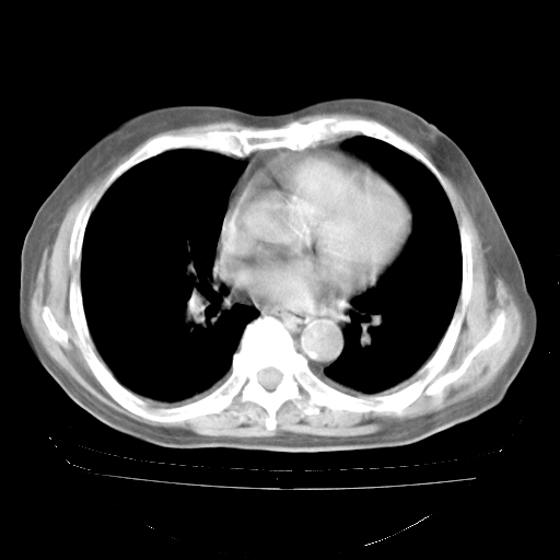
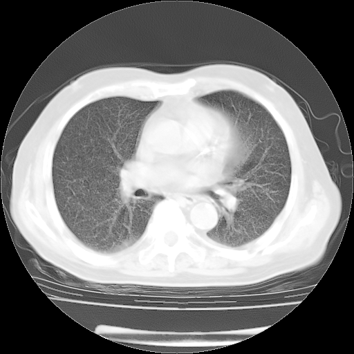
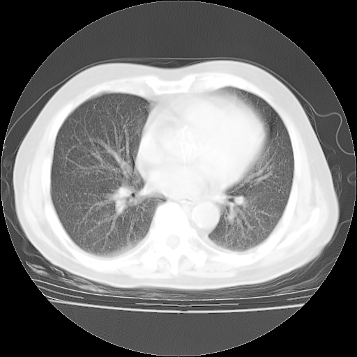
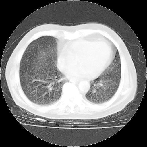
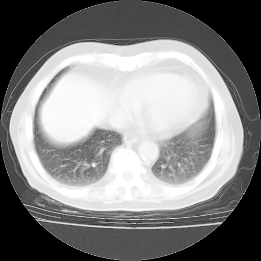
4月28日肺部CT

1221483 1 .bmp

1221483 2 .bmp

1221483 3 .bmp

1221483 4 .bmp

1221483 5 .bmp

1221483 6 .bmp

1221483 7 .bmp

1221483 8 .bmp

1221483 9 .bmp
回复

使用道具 举报

 楼主| 发表于 2010-4-28 17:10 | 显示全部楼层
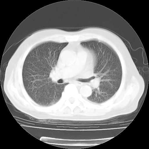
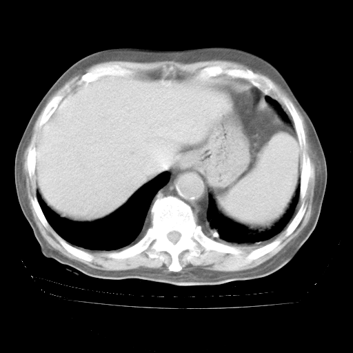
4月28日肺部CT

1221483 10.bmp

1221483 11.bmp

1221483 12.bmp

1221483 13.bmp

1221483 14.bmp

1221483 15.bmp

1221483 16.bmp

1221483 17.bmp

1221483 18.bmp

1221483 19.bmp
回复

使用道具 举报

 楼主| 发表于 2010-4-28 17:11 | 显示全部楼层
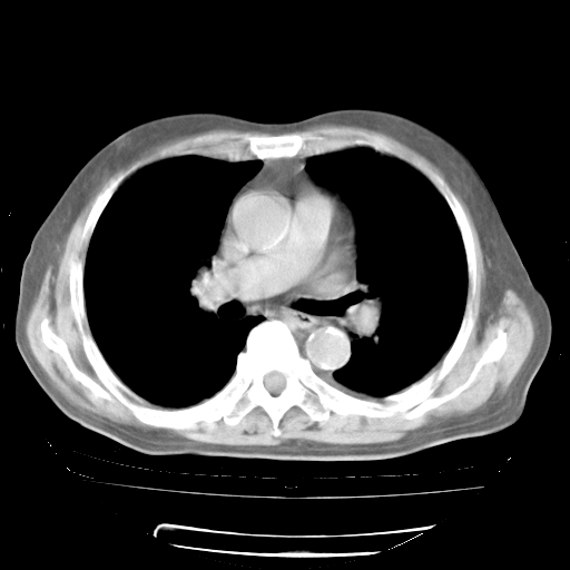
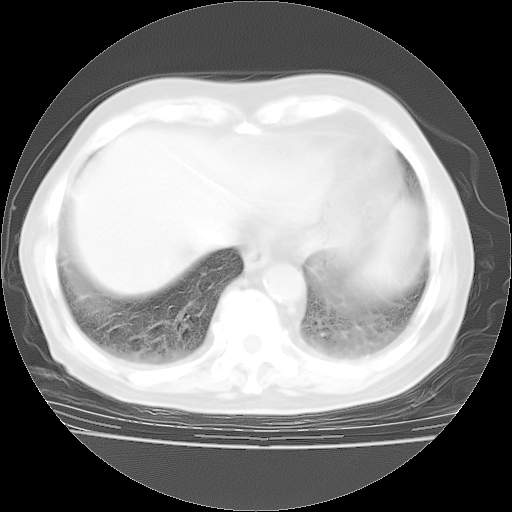
4月28日肺部CT

1221483 20.bmp

1221483 21.bmp

1221483 22.bmp

1221483 23.bmp

1221483 24.bmp

1221483 25.bmp

1221483 26.bmp

1221483 27.bmp

1221483 28.bmp

1221483 29.bmp
回复

使用道具 举报

 楼主| 发表于 2010-4-28 17:13 | 显示全部楼层
4月28日肺部CT

1221483 34.bmp

1221483 30.bmp

1221483 31.bmp

1221483 32.bmp

1221483 33.bmp
回复

使用道具 举报

发表于 2010-4-28 17:23 | 显示全部楼层
本帖最后由 桃子妖妖 于 2010-4-28 17:54 编辑

个人阅读4.14日肺部CT平扫:纵隔窗无异常,但肺窗示:双下肺内、后基底段有片絮状侵润影,部位以后基底段为著,以间质改变为主,呈急性肺泡炎征像,和首次住院影像学有相似之处。仅是个人读片,明日请相关专家再读片哈。其它建议同上。
回复

使用道具 举报

 楼主| 发表于 2010-4-28 18:13 | 显示全部楼层
回复 88# 桃子妖妖
今天部分检查
轻微咳嗽,无痰,(体温正常时)R20次/分,P75次/分,双肺底、腋下可闻及少量捻发音。下肢轻度浮肿。
血常规:白细胞9.11×109/L,N0.92,L5.64,血小板39.2×109/L,HB148g/L,ESR2mm/H。
尿常规:潜血+
血生化:总蛋白69.71g/L,白蛋白38.40g/L,球蛋白31.31g/L,CRP27.9mg/L,尿素氮11.98mmol/L,肌酐106μmol/L,乳酸脱氢酶1099 U/L,肌酸激酶108U/L,CK-MB 61U/L。
腹部B超:胆囊壁增厚,肝、胆、胰、脾、肾无异常,肠系膜淋巴结、腹膜后淋巴结无增大。
ECG:右心室增大
心脏超声检查:无右心室增大。

增加治疗:异烟肼、利福平、乙胺丁醇,静滴左氧氟沙星、参麦注射液。甲强龙从80mg暂减为40mg。
强的松3月1日改为10mg  qd,4月1日改为10mg qod。3月份以前的减量过程和环磷酰胺疗程需等明天查看记录(我岳父自己做的记录在他家里)。

给您添麻烦了,谢谢。
回复

使用道具 举报

 楼主| 发表于 2010-4-28 19:50 | 显示全部楼层
回复 108# 桃子妖妖

是28日CT改变明显,而不是14日的?
目前还必须抗结核+环磷酰胺+甲强龙?甲强龙用量?
今天上午寒战时又抽了血培养两份,风湿全套抽血需到济南化验。
回复

使用道具 举报

发表于 2010-4-28 20:54 | 显示全部楼层
本帖最后由 桃子妖妖 于 2010-4-28 20:57 编辑

1、108#的是4月14日的胸部CT(发此贴时还没看着28日的CT)。14日的胸部CT其实已经出现改变(如108#所述),个人认为28日的胸部CT除纵膈窗疑似有双侧胸膜增厚或少量胸积液(可行胸部B超明确)外,与4月14日对照病变有所加重;2、已经给予“异烟肼、利福平、乙胺丁醇”抗痨治疗?如果是,甲强龙80mg可缓慢减量;如果环磷酰胺已停用,暂不使用;3、中性粒细胞92%,明显升高,目前体温情况?注意合并细菌感染可能,使用左氧氟沙星情况下,是否联用B-内酰胺类抗菌药物?另外是查免疫全套非风湿全套。
明日请相关专家读片,并咨询治疗方案。
高管,客气了。没关系的哈
回复

使用道具 举报

 楼主| 发表于 2010-4-28 21:39 | 显示全部楼层

——

回复 111# 桃子妖妖

还是呼吸科博士火眼金睛啊,我们影像科未发现,我自己更不会看。  经您提示真看到有问题了!
我们没有临床免疫科,我自己和我们内科医生都把“免疫全套”被理解成“风湿全套”了,免疫全套指的是哪些?

去年在齐鲁医院查过的“风湿十一项”:抗Sm抗体、抗SSA抗体、抗SSB抗体、抗nRNP/Sm抗体、抗Scl-70抗体、抗Jo-1抗体、RF、ASO、CRP、抗核抗体(ANA)、抗ds-DNA抗体。
回复

使用道具 举报

发表于 2010-4-29 15:38 | 显示全部楼层
今请临免主任会诊后认为:4月14日胸部CT已有双下肺间质性改变。患者病情复发多系激素减量过快不正规所致。目前甲强龙80mg/日,一周后酌情开始减量,不易过快。环磷酰胺若已停用,暂不使用。他同意目前抗菌药物使用,但应考虑是否加用B-内酰胺类抗菌药物(中性细胞明显增高);2、结核复发目前依据不足;3、若免疫全套各项指标正常,考虑多系特发性肺间质炎可能大。4、加强支持,并注意保护胃黏膜。
免疫全套除高管所述外,还包括ENA抗体谱、T细胞亚群(CD3、CD4、CD8)、循环免疫复合物、补体C3、C4;IgG、IgA、IgM.
回复

使用道具 举报

 楼主| 发表于 2010-4-29 22:41 | 显示全部楼层
回复 113# 桃子妖妖

非常感谢您的帮助,昨天所查的项目包括ENA、RF、CCP、AKA。那就是还需要增加T细胞亚群(CD3、CD4、CD8)、循环免疫复合物、补体C3、C4;IgG、IgA、IgM.。
另外,谷丙、谷草轻度升高,CK-MB 61U/L,是否需要相应处理?还有BUN 11.92mmpl/L,白蛋白38.40g/L,轻微浮肿,尿常规潜血+,影响到肾?
回复

使用道具 举报

 楼主| 发表于 2010-4-30 09:27 | 显示全部楼层
回复 113# 桃子妖妖

再一个问题是昨天用甲强龙已5天,只前天40mg,其余4天都是80mg,今晨体温还是39.2度。甲强龙80mg的疗程是否参考体温。今天想改80mg qd 为40mg bid 。
昨晚上已经加用头孢他啶钠1.0  q8h 。
回复

使用道具 举报

发表于 2010-4-30 11:52 | 显示全部楼层
回复 114# gjs661

谷丙、谷草、CK-MB 轻度升高,暂不需要做处理,注意随访肝功。仅尿素氮增高并不反应肾功一定有损害,可能与患者高热、进食差等有关;注意随访肾功、尿蛋白情况即可。
回复

使用道具 举报

发表于 2010-4-30 12:04 | 显示全部楼层
本帖最后由 桃子妖妖 于 2010-4-30 12:07 编辑

回复 115# gjs661
今上午去请教了临免、呼吸主任:1、介绍病史和阅读系列胸部CT一致认为:患者肺结核不考虑,仍为肺间质纤维化,目前处于急性肺泡炎阶段。2、若仍发热,可将甲强龙增至:80mg Bid静滴,同时鉴于中性增高,合并细菌感染可能,继续左氧氟沙星治疗,再联用B-内酰胺抗菌药物,如头孢哌酮--舒巴坦;3、停用抗痨药;4、目前甲强龙每日剂量160mg ,体温正常后再酌情减量;目前暂不用免疫抑制剂;4、不建议使用免疫增强剂等;5、加强支持治疗,鼓励患者进食;5、注意随访肝、肾功及血常规情况;6、因患者目前激素用量较大,加用胃黏膜保护剂,防止消化道出血可能。
高管,有什么尽管说,别那么客气哈。祝您父亲早日康复
回复

使用道具 举报

 楼主| 发表于 2010-4-30 12:23 | 显示全部楼层
回复 117# 桃子妖妖


谢谢您啦!已经根据您的意见调整了治疗。有什么新的变化还得麻烦您啊。
回复

使用道具 举报

 楼主| 发表于 2010-5-1 15:42 | 显示全部楼层
回复 113# 桃子妖妖

4月28日抽血的部分免疫指标结果:类风湿因子7.4IU/L (参考值0.0-14.0),抗核抗体(ANA)、抗角蛋白抗体(AKA)、抗循环瓜氨酸肽(CCP)均阴性。
IgG、IgA、IgM.、补体C3正常,补体C4 0.41g/L(参考值0.10-0.40)。
回复

使用道具 举报

 楼主| 发表于 2010-5-3 20:10 | 显示全部楼层
回复 117# 桃子妖妖

调整治疗4整天,甲强龙改为80mg bid 治疗后体温正常。
今日查血常规5.2×10[sup]9[/sup]/L ,中性0.85 血小板39×10[sup]9[/sup]/L。
请问甲强龙在体温稳定后几天减量?如何减量?
回复

使用道具 举报

您需要登录后才可以回帖 登录 | 注册 |

本版积分规则

关闭

站长推荐上一条 /1 下一条

快速回复 返回顶部 返回列表